当院を初めて受診いただいた際には、まず口腔内の検査を行い、後日ホワイトニング治療をさせていただきました。
基本的に、初診の方の場合、初めて患者様のお口の中を診察するため、その日にホワイトニングを行うことはできません。初診時には問診やレントゲン撮影、口腔内検査などを行い、総合的な診断が必要です。
そのため、ホワイトニング治療は2回目以降のご来院で行っていただく形となります。また、先に治療が必要な場合もあるため、その際もホワイトニングは治療後の実施となります。
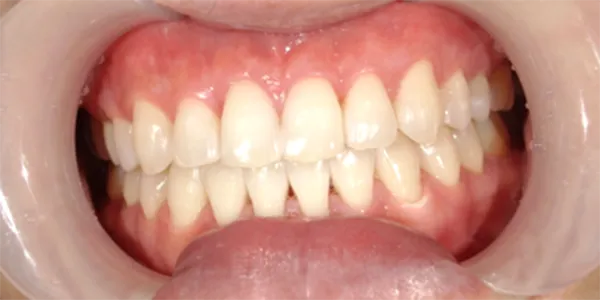
ホワイトニングをする前
オフィスホワイトニング後歯の黄ばみが気になったので歯を白くしたい。とおっしゃっていました。

当院を初めて受診いただいた際には、まず口腔内の検査を行い、後日ホワイトニング治療をさせていただきました。
基本的に、初診の方の場合、初めて患者様のお口の中を診察するため、その日にホワイトニングを行うことはできません。初診時には問診やレントゲン撮影、口腔内検査などを行い、総合的な診断が必要です。
そのため、ホワイトニング治療は2回目以降のご来院で行っていただく形となります。また、先に治療が必要な場合もあるため、その際もホワイトニングは治療後の実施となります。
| 初診日 | 2024年6月 |
|---|---|
| 主訴 | 歯を白くしたい |
| 年齢・性別 | 30代女性 |
| 治療回数 | 1回 |
| 治療費 | オフィスホワイトニング:3万円 |